原标题:女子硬扛流感10天肺都白了!“白肺”有多危险?能治愈吗?
近日,江苏51岁的陈女士患上流感,硬扛了10多天后,在挂水时突然昏倒。经CT检查,因肺部感染多种病毒,陈女士已经发展成重症肺炎,肺功能基本丧失,严重呼吸衰竭,随时有生命危险。医生介绍,陈女士因患有基础病免疫力偏低,得了流感后硬扛,大大增加了致病真菌的感染风险,最终导致“白肺”。

此前,“白肺”相关话题频频登上热搜,引发广泛关注和热议。


什么是“白肺”?哪些情况会引起“白肺”?“白肺”可以治愈吗?“白肺”可以预防吗?
针对这些问题,晚报君汇编了各地多位专家的观点,为大家逐一解答。
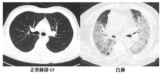
什么是“白肺”?
复旦大学附属华山医院感染科副主任医师张继明介绍,正常情况下,肺部主要是由充满了空气的肺泡组成,进行CT或者是X线检查时,射线可以很容易地穿透肺泡,在影像学上显示为黑色区域;当肺部受到病原体感染、临床上表现为重型肺炎时,患者肺泡里会出现炎症、渗出或实变时,射线不容易穿透病变区域,在影像学就出现了白色的区域。当白色区域面积达到了70%-80%时,临床上俗称其为“白肺”。事实上,“白肺”患者,其肺组织肉眼下看并不是白色的。

他表示,“白肺”是肺组织炎症渗出、肺实变所导致的一种影像学表现,“白肺”患者常常病情较为严重,预后较差。
哪些情况会引起“白肺”?
德州市第二人民医院医学影像科副主任邵元伟介绍,引起“白肺”的原因很多,只要正常的肺泡被破坏,肺泡里面的气体被渗出液或者炎性细胞浸润、肺泡塌陷,都会出现“白肺”的情况。
有两种情况是比较常见的:严重的肺水肿和严重的肺部炎症。比如重症肺炎,肺泡被炎症渗出物充满,导致换气障碍,引起严重缺氧,进而危及生命。
哪种情况需要做CT?
一些人担心自己发生“白肺”,就涌到医院去做CT检查。对于这种情况,重庆医科大学附属第一医院呼吸与危重症医学科主任医师郭述良直言:“其实大部分人是不需要的。”

他建议,如果没有出现持续高热,比如3天以上的高热,也没有出现明显的胸闷、气促等症状,老年人没有出现缺氧,没有神志变差等,就用不着到医院去做CT检查。
“我们可以通过网络平台来咨询医生,看要不要到医院去做CT检查。”他建议,如果确实出现了胸闷比较明显、气短,持续发烧,以及老年人血氧饱和度低于93%等情况,就有必要到医院去就诊做CT检查。
“白肺”可以治愈吗?
“只要患者就诊比较及时,医生及时处理得当,相当部分的患者可以好转。”武汉市黄陂区人民医院重症医学科主任罗勇介绍,因肺炎引起的呼吸衰竭在临床上有很成熟的治疗方法,通过俯卧位的通气、给氧等呼吸支持,同时加强原发病对应的治疗,有相当部分“白肺”患者能够实现较好的治疗效果。
关于“白肺”是否会留下后遗症的问题,罗勇表示,如果是早期发现,病因可以快速逆转,患者可以完全康复,不留后遗症;如果迁延时间较长,肺部有不同程度的纤维化,这些患者治愈后呼吸功能会有所下降,一般表现为体能有所下降。但只要身体良好,也能在今后的一段时间内慢慢吸收,恢复如常。

“白肺”如何治疗?
首都医科大学附属北京朝阳医院呼吸科副主任医师龚娟妮介绍,治疗“白肺”的方法主要包括调整生活方式、定期吸氧、口服药物等,能够减轻给肺部组织带来的损伤。
调整生活方式:患者需要多注意休息,避免长时间进行剧烈的运动,也需要多吃营养价值丰富的食物,比如瘦肉、鸡蛋等。
定期吸氧:如果出现了明显的呼吸不畅的症状,可以定期进行氧疗,改善呼吸道不适,以免病情持续发展。
口服药物:患者可以在医生的指导下合理使用头孢氨苄胶囊、头孢克肟颗粒等药物进行治疗,能够抑制炎症。
除此之外,也可以通过注射药物、理疗、呼吸支持治疗等方式来改善。
“白肺”可以预防吗?
武汉市第五医院呼吸与危重症医学科副主任医师龚子龙表示,“白肺”不能预防,只能说是预警。可以在家备一个血氧仪来监测血氧饱和度,尤其是有基础疾病的患者和老年人,及时监测氧饱和度,一旦发现静息状态下的血氧饱和度低于93%,应该及时就医。
家里没有血氧仪怎么办?天津市北辰医院放射科主任刘青介绍,可以通过监测呼吸频率变化来辅助识别。
在安静状态下,健康成人呼吸频率为每分钟12—20次,1—3岁儿童为每分钟25—30次,4—7岁儿童为每分钟20—25次。休息状态下,可根据胸廓活动频次来计算一分钟内患者的呼吸次数,如果增加幅度超每分钟10次,最好监测血氧情况。
最后晚报君提醒大家,老年人和患有慢阻肺、支气管疾病、心力衰竭、肾脏衰竭等基础疾病的患者要特别小心,出现相关症状时及时就医,要把炎症阻断在早期阶段,避免重症化,更要避免出现“白肺”。
来源 | 羊城晚报综合荔枝新闻、中国新闻网、齐鲁壹点、天津日报、人民日报、澎湃新闻、长江日报、华龙网等
话题主持|羊城晚报记者 郑宗敏





关于中工网 | 版权声明 | 违法和不良信息举报电话:010-84151598 | 网络敲诈和有偿删帖举报电话:010-84151598
Copyright © 2008-2025 by www.workercn.cn. all rights reserved
×